Google Endoplaza

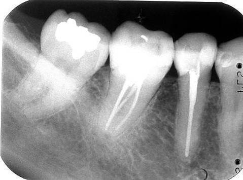
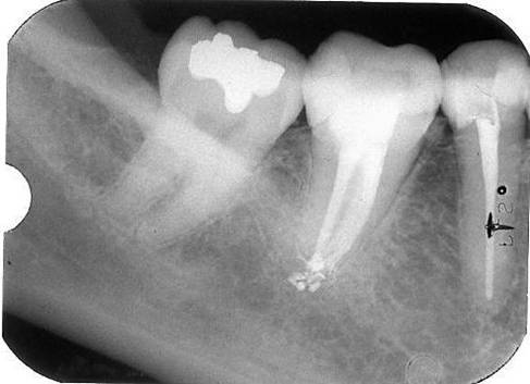
Een “C-shaped canal”


Een C-shaped canal komt af en toe voor bij de ondermolaren. Meer in de tweede ondermolaar dan in de eerste.

Problemen die zich voordoen:

  • het herkennen van een C-shaped canal
  • het preparen van het gehele systeem
  • het vullen van het gehele systeem
Herkenning is belangrijk omdat anders zoals altijd naar de 3 of 4 kanalen wordt gezocht die zich normaal in een ondermolaar bevinden. Uiteindelijk is dan een groot deel van het kanalensysteem niet gereinigd. Met een behandelmicroscoop valt onmiddellijk te zien dat het niet om normale kanalen gaat maar om een complex halve maanachtig systeem.

Er moet ook gedacht worden aan een C-shaped canal als:
Bij het aspireren van hypochloriet uit één kanaal alle kanalen ineens leeg zijn. Het opzuigen wordt gedaan door de naald van de hypochlorietspuit ver naar apicaal te brengen en vervolgens te aspireren. Dit is overigens een standaard procedure als bij het einde van een endodontische behandeling de kanalen moeten worden gedroogd.

Goed preparen van een C-shaped canal is buitengewoon lastig. Het is handig om distolinguaal en mesiolinguaal eerst 2 kanalen te preparen. Dit kan op de gebruikelijke wijze zoals beschreven bij de primaire endodontische behandeling. Vervolgens kan op twee manieren verder worden gegaan. Op elke plaats waar een handvijl nog naar apicaal wil wordt opnieuw een kanaal geprepareerd. Uiteindelijk is het grootste deel van het complexe kanaalsysteem dan wel schoon geprepareerd. Een andere mogelijkheid is om vanuit de reeds geprepareerde 2 kanalen met ultrasone vijlen het gehele halve maan gebied te reinigen. Dit kan ook met behulp van Rotary shaping files. Ook Gates Glidden drills zijn erg handig om “de halve maan” te reinigen.

Vullen van het complexe kanalensysteem is het gemakkelijkst te doen met een combinatie van System B en Obtura II . De laterale condensatie techniek is hier minder geschikt.
Met System B worden de apicale delen van de kanalen gevuld en vervolgens wordt met de warme guttapercha spuittechniek van Obtura II de rest van het complexe systeem opgevuld.




Van deze pagina kunt u de volgende producten bestellen in onze catalogus


  • Behandelmicroscoop
  • Gates Glidden Drills
  • Handvijlen
  • Obtura II
  • Rotary-files
  • System B
  • Ultrasone vijlen (EMS)

naar vorige hoofdstuk: Bleken van een element
naar volgende hoofdstuk: Diepe wortelsplitsingen
©2005 Endoplaza.nl  |  Deze pagina kunt u het best bekijken bij een resolutie van tenminste 1024 bij 768 pixels  |  Laatst bijgewerkt op 21 november 2006