Google Endoplaza

Elektronisch lengte bepalen, de Elektronische Lengtebepaler




Met een elektronische lengtebepaler wordt vastgesteld hoeveel millimeter de lengte van een gebitselement is. Op het occlusale vlak wordt een punt genomen (bijvoorbeeld de mesiobuccale knobbel van de bovenmolaar) ten opzichte waarvan de lengte wordt bepaald tot aan de apex.

Een vijl die in het apicale gebied goed contact heeft met de kanaalwand wordt langzaam richting apex geduwd. Op het moment dat de punt van de vijl het periapicale gebied bereikt geeft de lengtebepaler een signaal dat aangeeft dat de apex bereikt is. Dit is het enige betrouwbare meetpunt. Deze lengte wordt gemeten. De metingen die aangeven dat men nog enkele millimeters van de apex verwijderd is, zijn relatieve metingen en derhalve minder betrouwbaar dan de apex meting. Vervolgens wordt bepaald hoeveel millimeter vanaf de apex het einde van de kanaalpreparatie moet komen.

De elektronische lengtebepaler is een onmisbaar apparaat, maar de beperkingen moeten bekend zijn.

De voordelen:

  • Er wordt niet meer “per ongeluk” voorbij de apex gevijld.
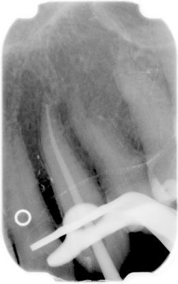
  • De lengtefoto is vaak alleen een bevestiging van de bepaalde lengte en de vijlen zijn nooit voorbij de apex.

  • Als er twijfel is of er sprake is van een perforatie of van een kanaal, geeft de lengtebepaler een niet te missen signaal.
  • De waarschijnlijke werklengte is onmiddellijk bekend.
  • Debris doorpersen gebeurt normaal gesproken niet meer.
De beperkingen:

  • Als de vijl metaal raakt geeft hij een verkeerde melding.
  • Als er teveel vocht in de pulpakamer of de kanalen staat, kan dat gemakkelijk tot een verkeerde melding leiden.
  • Een groot lateraal kanaal kan voor een foute beoordeling zorgen.
  • Als er sprake is van “connected canals” en er staat vrij veel hypochloriet in de kanalen kan dat een foutmelding geven.
  • Als de pulpakamer lekt naar de mondholte (lekkende vulling of kroon) kan dit een foutmelding geven.
  • Een te lege batterij kan een correcte meting beïnvloeden.
  • De verbindingen willen wel eens minder goed contact maken (klem met vijl, mondhaak met mucosa, snoer met apparaat).
  • Een oude kanaalvulling kan de meting lastig maken. Deze moet eerst gepasseerd zijn om een meting te kunnen doen.
  • Patiënt mag geen pacemaker dragen. Dit is een contra-indicatie!
  • Een lengtefoto is altijd nodig om krommingen of foutmeldingen te constateren.

Tip:
Voordat wordt gemeten bij meerkanalige elementen wordt de pulpakamer leeggezogen en in de kanaalingangen worden paper-points geplaatst om te voorkomen dat tijdens het droogblazen van de pulpakamer er lucht voorbij de apex wordt geblazen.

Meer weten over de Elektronische Lengtebepaler? Lees het FAQ document!


Van deze pagina kunt u de volgende producten bestellen in onze catalogus


  • Elektronische Lengtebepaler
  • Paper-Points
  • Vijlen

naar vorige hoofdstuk: Reinigen/vormgeven van het coronale deel van de kanalen
naar volgende hoofdstuk: Reinigen/vormgeven tot volledige vastgestelde lengte van de kanalen

©2005 Endoplaza.nl  |  Deze pagina kunt u het best bekijken bij een resolutie van tenminste 1024 bij 768 pixels  |  Laatst bijgewerkt op 21 november 2006