Google Endoplaza

Fistel


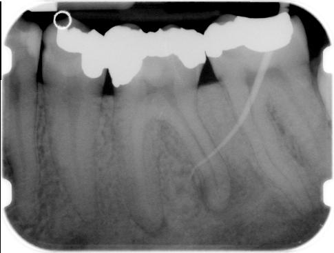
De oorsprong van de fistel wordt opgezocht door een guttaperchastift zover mogelijk in het fistelkanaal te steken en vervolgens een X-foto te nemen. De uitvoergang zit niet standaard precies ter plaatse van het periapicale proces.

De fistel wordt soms verward met een parodontaal abces. Pulpa testen kan dan uitkomst bieden.

Er is sprake van een chronische situatie. De patient heeft vaak weinig klachten. Soms is er een vieze smaak en zit er wel eens een “bobbeltje” dat af en toe doorbreekt.

Als een goede endodontische behandeling is gedaan behoort de fistel na een aantal weken te zijn verdwenen.

Indien er meerdere fistels bij elkaar zitten moet men verdacht zijn op een (verticale) fractuur.


Van deze pagina kunt u de volgende producten bestellen in onze catalogus


  • Guttaperchastift

©2005 Endoplaza.nl  |  Deze pagina kunt u het best bekijken bij een resolutie van tenminste 1024 bij 768 pixels  |  Laatst bijgewerkt op 21 november 2006