Google Endoplaza

Endo/paro problematiek


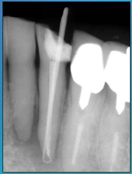
Men moet bedacht zijn op een endo/paro probleem als er een solitaire diepe bloedende pocket zit bij een vaak fors gevuld element. Zeker als er verder nauwelijks sprake is van parodontale problematiek. Patiënten geven soms aan dat ze bij “zuigen” een vieze smaak in de mond krijgen.


De diagnose kan worden bevestigd als het element negatief reageert op testen.

Uiteraard dient een X-foto te worden gemaakt. Soms is er een periapicale lucentie te zien.

Indien de oorsprong van de pocket van endodontische aard is dient er een endodontische behandeling te worden gedaan. De solitaire pocket (vergelijkbaar met een fistel) behoort vervolgens weer te verdwijnen.

Differentiaal diagnostisch moet er rekening worden gehouden met een fractuur. Gebruik van de behandelmicroscoop vergemakkelijkt de diagnose.



Van deze pagina kunt u de volgende producten bestellen in onze catalogus


  • Behandelmicroscoop

©2005 Endoplaza.nl  |  Deze pagina kunt u het best bekijken bij een resolutie van tenminste 1024 bij 768 pixels  |  Laatst bijgewerkt op 21 november 2006