Verwijderen van afgebroken instrumenten
Onontbeerlijke instrumenten/apparaten:
Verwijderen afgebroken
vijlen
op verschillende niveaus in het kanaal:
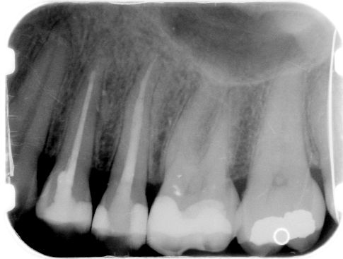
- Een vijl die bijna uitsteekt in de pulpakamer
- Een vijl afgebroken halverwege in het wortelkanaal
- Een vijl die dicht bij de apex is afgebroken
- Verwijderen van een kort stukje (2 a 3 mm) NiTi vijl (zoals Profile)
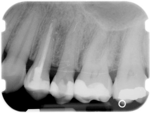
ad a. Een vijl die bijna uitsteekt inde pulpakamer.
Maak de vijl goed zichtbaar door eventueel overhangend dentine te verwijderen. Probeer met een
ultrasone tip
de vijl los te trillen. Lukt dit niet, prepareer dan met ultrasone tips plus minus 3 mm naar apicaal toe langs de vijl enige ruimte te creëren.
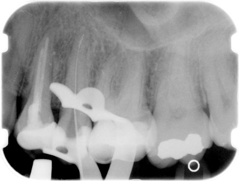
Probeer de vijl vast te klemmen in het IRS instrument

.

Trek de vijl voorzichtig uit het kanaal.
.
|
In deze film ziet u hoe een afgebroken vijl wordt verwijderd met het IRS systeem.
(Links voor breedband, bestand: ca 2 Mb)
(Rechts voor ISDN, bestand: ca 0,3 Mb)
|
.
|
|
ad b. Een vijl afgebroken halverwege het wortelkanaal.
Het kanaalgedeelte boven de vijl wordt geprepareerd met een
Gates Glidden drill
die afgeslepen is tot zijn breedste punt. Een ronde
LN-boor 
met een diameter van 0,8 millimeter kan hier ook goed voor gebruikt worden. Met de behandelmicroscoop is de bovenkant van de afgebroken vijl goed te zien. Nu wordt met speciale ultrasone tips weer enkele millimeters van de vijl iets vrij geprepareerd. De ultrasone trilling helpt mee de vijl los te maken. Blijft de vijl nog vastzitten dan kan met het IRS-systeem geprobeerd worden de vijl vast te klemmen en er uit te trekken. Lukt dit nog niet dan opnieuw enkele millimeters verder langs de vijl vrij preparen.
NiTi-vijlen
moeten bijna tot aan het eind worden vrijgeprepareerd omdat ze altijd onder enige spanning in het kanaal zitten. Tijdens de behandeling trilt er ook gemakkelijk een deeltje van de vijl af. Met de behandelmicroscoop valt haarscherp te zien of er nog een vijldeeltje is achtergebleven. Als dit het geval is wordt de procedure opnieuw gevolgd.
|
Tips:
- Een loszittend stalen vijltje is soms gemakkelijk te pakken door een handplugger
met een magneet tijdelijk magnetisch te maken.
- Een volledig losliggend NiTi deeltje kan met behulp van een beetje vaseline aan een handplugger verwijderd worden. Dit kan overigens ook met een beetje lijm.
- Tijdens het losmaken worden oplosmiddelen als Glyde
of RC Prep in combinatie met hypochloriet gebruikt om het loskomen van de vijl te bevorderen.
- Zorg dat een los vijldeeltje tijdens het vrij preparen niet per ongeluk in een ander kanaal kan vallen. De andere kanalen even afdichten met een tipje Cavit.
|
ad c. Een vijl die dicht bij de apex is afgebroken.
Bij een afgebroken vijl in het apicale gebied moest tot voor kort de afweging worden gemaakt of verwijderen niet meer schade berokkende dan laten zitten. Zeker in kromme kanalen was het vrijwel ondoenlijk om én het afgebroken vijltje te verwijderen én de radix te sparen. Passeren en verwijderen van het vijldeeltje is de beste oplossing. De manier waarop is te zien in dit
filmpje. (Let op, de grootte van het bestand is 13 Mb.)
ad d. Wanneer een stukje Profile is afgebroken halverwege of diep in het kanaal dan kan op de volgende wijze een poging worden gedaan om dat stukje te verwijderen:
- De precieze lengte van het afgebroken vijldeeltje meten aan de hand van het resterende deel van de Profile.
- Glyde in het betreffende kanaal doen.
- Vooralsnog geen ruimte boven het afgebroken gedeelte maken.
- Met 06 vijlen (een stuk of 10 bij de hand hebben) proberen in de winding van de Profile te komen. Vrij snel wordt bij het terugtrekken weerstand (tug back) gevoeld.
- Steeds rechtsom draaiend verder proberen te komen. Een 06 vijltje is vrijwel onmiddellijk een “draadje” geworden.
- Als het stukje vijl gepasseerd is hetzelfde nog eens doen met een 08 vijl enz. enz.
- Als het stukje vijl los ligt kan het met behulp van een beetje Vaseline aan een handvijltje worden verwijderd.
Pas op voor het gebruik van Hedström vijlen om het afgebroken deeltje er uit te krijgen! Als daar ook een stukje vanaf breekt is het vrijwel onmogelijk dat te verwijderen.
Klik op de camera om een korte film van de procedure te zien. (Let op, de grootte van het bestand is 13Mb.)
Verwijderen afgebroken lentulonaald
Als een lentulonaald breekt, dan is dat vaak ter hoogte van de
kanaalingang. Als de naald echt vast zit wordt eerst met een ultrasone vijl die zover mogelijk in de winding wordt gestoken getracht om de lentulonaald los(ser) te trillen. Vervolgens wordt een handvijl of Rotary-file in de winding aangebracht en wordt de vijl in de richting van de klok losgedraaid (In tegenstelling tot gewone vijlen die debris etc. uit het kanaal draaien, draait een lentulonaald rechtsom draaiend pasta in het kanaal. Om de naald te verwijderen moet dus met de wijzers van de klok mee worden gedraaid!).
Uiteraard kan ook met secondenlijm een handvijl aan de lentulonaald worden vastgeplakt en vervolgens draaiend met de klok mee uit het kanaal worden getrokken.
|
Tip:
Pak een vergelijkbare lentulonaald en probeer een type vijl te vinden die na 2 a 3 windingen vastloopt in de lentulonaald. Dit is eenvoudig te doen door de vijl aan het uiteinde van de lentulonaald in de windingen te schuiven. Het is nu zekerder dat de vijl past in de afgebroken lentulonaald.
|
Van deze pagina kunt u de volgende producten bestellen in onze catalogus
- Behandelmicroscoop

- Handplugger

- Handvijlen

- Rotary-files

- Gates Glidden Drills 1, 2, en 3. (de grotere kanalen kunnen eventueel met 4 of 5)

- Glyde Intro Package

- Ultrasoon apparaat

- Ultrasone tips

- IRS instrument

- LN-boren (dunne ronde boren met een lange schacht)

naar vorige hoofdstuk:
Verwijderen van de oude kanaalvullingen
naar volgende hoofdstuk:
Opsporen van perforaties/fausse routes