De open apex
Er zijn meerdere redenen waarom een open apex aanwezig kan zijn en behandeling behoeft, o.a.:
- trauma van een gebitselement bij een kind terwijl de apex nog niet afgevormd is
- ontstekingsresorptie aan de apex
- de apex is open gevijld
De behandeling bestaat uit:
- het elimineren van de bacteriën in het apicale gebied
- een goede endodontische voorbehandeling
- afsluiten van de open apex
Er zijn meerdere methoden om een dergelijke open apex af te sluiten:
Tot voor kort werd de open apex vrijwel standaard afgesloten middels een zogenaamde “apexificatie” met behulp van Ca(OH)2. Als er dan een dentinebrug was gevormd werd daar de kanaalvulling tegenaan geplaatst. Vaak was dit een langdurige en tijdrovende behandeling waarvan de goede afloop lang niet altijd zeker was.
De nieuwste methode met de beste prognose is het afsluiten met
MTA (Pro Root)
.

Dit gebeurt als volgt:
In de eerste zitting wordt op de gebruikelijke manier geprepareerd en gespoeld. Vervolgens wordt er gedurende minstens een week
CA(OH)2 in het wortelkanaal aangebracht.
In de tweede zitting wordt het wortelkanaal weer zorgvuldig gereinigd en gespoeld. Het is buitengewoon lastig om CA(OH)2 weer uit het kanaal te krijgen. Dit is met de
behandelmicroscoop
goed te zien.
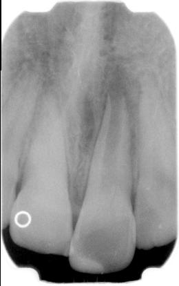
Als er sprake is van een grote apicale lucentie die al langdurig aanwezig is, dan zit er in het periapicale gebied veel granulatieweefsel en is er geen botbarrière.
De barrière kan gemaakt worden door
calciumsulfaat (BoneGen)

in het periapicale gebied aan te brengen. Met behulp van een
MTA GunSystem
wordt calciumsulfaat in het kanaal gebracht. Met handpluggers, ingesteld op de lengte van het betreffende element, wordt de calciumsulfaat voorbij de apex gecondenseerd. Enkele minuten later is het hard geworden. De restjes calciumsulfaat in het kanaal worden verwijderd. Bijvoorbeeld zoals normaal een kanaal wordt gereinigd. Een dikke vijl omwikkeld met watten en daarna vochtig gemaakt is een andere goede methode om de kanaalwand te reinigen. Ook handig is het om te reinigen met behulp van
LN-boren 
(dunne
ronde boren met een lange schacht).
Deze worden ingesteld op een lengte zodanig dat niet voorbij de apex kan worden geboord. Vervolgens wordt met een licht schrapende beweging de kanaalwand aan alle kanten gereinigd. Bij alle methoden is de behandelmicroscoop onontbeerlijk om het resultaat te beoordelen. Nu wordt MTA (Pro Root) aangemaakt en het apicale deel van het kanaal (plus minus 5 mm) wordt hiermee gevuld. Een nat watje wordt op het aangebrachte MTA (Pro Root) geplaatst. Dit moet minstens 4 uur uitharden, daarom is een derde zittig nodig.
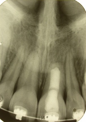
laatste xf is een controlefoto 1 jaar na de behandeling

In de derde zitting wordt het watje verwijderd en de rest van het kanaal gevuld zoals gebruikelijk.
Van deze pagina kunt u de volgende producten bestellen in onze catalogus
- Behandelmicroscoop
- Calciumsulfaat (BoneGen)
- MTA Pro Root
- MTA GunSystem
- LN-boren

naar vorige hoofdstuk:
Opsporen van perforaties/fausse routes
naar volgende hoofdstuk:
Vullen van de kanalen