De perforatie
Een behandelmicroscoop
is bijna onmisbaar bij dit type behandeling
Perforaties zijn te verdelen in:
- perforaties gemaakt bij het openen van een element
- perforaties gemaakt bij het zoeken van de kanalen
- perforaties gemaakt door het te fors ruimen van kanalen (stripperforaties)
- perforaties gemaakt omdat kanaal verkeerd toegankelijk is gemaakt (stripperforaties)
- perforaties na het creëren van een ledge in het kromme apicale deel van de radix
- “oude perforaties” niet opgemerkt tijdens eerdere behandelingen
ad a: Als een pulpakamer vrijwel volledig is geoblitereerd kan het bijzonder lastig zijn om de resterende pulpaholte te vinden. Bij het aanboren van vocht of bloed geeft de
elektronische lengtebepaler 
feilloos aan of een perforatie is gemaakt of dat de pulpakamer is gevonden. Bij een perforatie zal een signaal worden gegeven alsof de apex is bereikt en bij het aanboren van de pulpakamer komt er geen signaal.
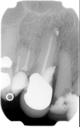
Als een perforatie is gemaakt wordt met een X-foto gecontroleerd waar de perforatie zich bevindt. Boven botniveau kan de perforatie worden gesloten met een plastische restauratie, bijvoorbeeld glasionomeercement. Beneden botniveau wordt de perforatie afgesloten met
MTA (Pro Root) 
.

Het is verstandig om eerst verder te zoeken naar de pulpakamer en de kanalen voordat de perforatie wordt gesloten. Het overzicht dient optimaal te zijn. Als de pulpakamer en de kanaalingangen gevonden zijn worden er
guttaperchastiften 
in de kanalen geplaatst waarna de perforatie wordt gesloten. De kanalen zijn nu eenvoudig terug te vinden.

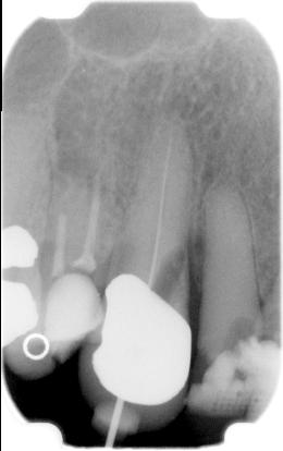
ad b: Als een perforatie wordt gemaakt bij het zoeken van de kanalen, ligt het niveau van de perforatie vaak lager dan de pulpakamerbodem of in de furcatie (bij molaren). Bij incisieven wordt meestal naar buccaal geperforeerd. Naar linguaal perforeren is uitgesloten. Bij zoeken naar het kanaal altijd verder naar linguaal prepareren. De elektronische lengtebepaler geeft weer uitsluiting/bevestiging of een perforatie gemaakt is. Eerst worden dan de werkelijke kanalen gezocht en afgeschermd. Vervolgens wordt de perforatie gesloten met MTA (Pro Root). In een volgende zitting wordt de endodontische behandeling voltooid.
ad c en d: Dergelijke (strip-)perforaties ontstaan als de endodontische opening niet voldoende ruim boven de kanaalingangen zit, of als met te grote instrumenten wordt geruimd.
Vijlen 
en andere instrumenten worden bij onvoldoende ruim openen van het element onder een hoek in de kanalen geplaatst waardoor van het ene deel van de kanaalwand (vrijwel altijd naar de furcatie toe) meer wordt afgenomen dan van het andere deel.
Als bij een bloedend kanaal een droge paperpoint

halverwege rood wordt en niet bij de punt, wijst dit op een stripperforatie. Een
behandelmicroscoop
maakt de stripperforatie zichtbaar. Elektronisch wordt gemeten op hoeveel millimeter diepte de perforatie zich bevindt. Vervolgens wordt de endodontische behandeling afgemaakt tot 2 millimeter onder het niveau van de perforatie. Als laatste wordt de perforatie gesloten met MTA (Pro Root)
ad e. Een apicale perforatie ontstaat als een ledge is gemaakt waardoor er lengte is verloren. De behandelaar wil toch weer op lengte komen en vijlt met te dikke stugge niet voorgebogen vijlen door, totdat het opeens weer gemakkelijk gaat om op lengte te komen. Dan is vermoedelijk een apicale perforatie gemaakt. Meten met de elektronische lengtebepaler en vervolgens een lengtefoto maken. De plek waar de vijlpunt uitkomt geeft een aardige indicatie of het een perforatie is of dat toch het gewone kanaal weer doorgankelijk is gemaakt.
De perforatie kan gesloten worden door een gewone kanaalvulling te plaatsen, of door het aanbrengen van MTA (Pro Root) als handpluggers

ongeveer ter plaatse kunnen komen.
Als een perforatie in een krom kanaal een aantal millimeters vanaf de apex heeft plaats gevonden, is het verstandig om het apicale kanaalgedeelte en de perforatie beide af te sluiten met MTA (Pro Root).
ad f. Een "oude perforatie" heeft een slechtere prognose. Vaak is er al een parodontaal probleem ontstaan welke op een X-foto al te zien is. Voordat een dergelijke perforatie wordt gesloten, wordt eerst gedurende minstens een week
CA(OH)2 ingesloten om de wond “steriel” te maken. Daarna wordt
calciumsulfaat (BoneGen)

aangebracht als matrijs in het perforatiegebied.

Vervolgens wordt de perforatie gesloten zoals hieronder in het schema is beschreven.
Als de vrees bestaat dat MTA wordt doorgeperst omdat er een grote lucentie bij de perforatie zit, dan eerst met snelhardende “steriele” calciumsulfaat (gips, BoneGen) een stop creëren en vervolgens nadat het kanaal opnieuw goed is gereinigd de MTA aanbrengen.
Schematische opsomming afsluiten perforaties:
Afsluiten direct na ontstaan van de perforatie:
- Reinigen van het betreffende kanaal op de normale manier
- Vullen van het kanaal tot 2 mm onder de perforatie
- Rest van het kanaal en de perforatie vullen met MTA (Pro Root) volgens de gebruikelijke wijze
- In een volgende zitting het element op de normale wijze afsluiten
Bij een perforatie in de pulpakamerbodem worden eerst de kanalen op de gebruikelijke wijze afgesloten en vervolgens wordt MTA (Pro Root) aangebracht.
Als een perforatie in een krom kanaal een aantal millimeters vanaf de apex heeft plaatsgevonden, dan valt te overwegen om het apicale kanaalgedeelte en de perforatie beide af te sluiten met MTA (Pro Root).
Algemeen geldt, dat de prognose van het behandelen van een perforatie beter is als de afsluiting wordt uitgevoerd zo snel mogelijk na het ontstaan ervan.
Afsluiten langer bestaande perforatie:
- Kanaal reinigen en vormgeven op de normale manier
- Tijdelijke antibacteriële dressing (Ca(OH)2) of Asphaline in het betreffende kanaal (minimaal een week)
- Gedeelte apicaal van de perforatie vullen met guttapercha en sealer tot 2mm van de perforatie
- Perforatie afsluiten met MTA (Pro Root)
- Indien er vrees bestaat voor doorpersen van de MTA, dan eerst met Calciumsulfaat een stop(matrijs) creëren en vervolgens de MTA aanbrengen tegen de snel uitgeharde gips (BoneGen)
- In een volgende zitting het element op de normale wijze afsluiten
Van deze pagina kunt u de volgende producten bestellen in onze catalogus
- Behandelmicroscoop
- MTA Pro Root
- MTA GunSystem
- Calciumsulfaat (BoneGen)
- Elektronische Lengtebepaler
- Guttapercha
- Paper-Points
- Vijlen
- Handpluggers
naar vorige hoofdstuk:
Bijzondere behandelingen
naar volgende hoofdstuk:
De open apex